https://www.saburina.fun

独女サブ子はお金がないっ

職もない男もない友達もないお金もなーい。寂しいぞお😭

2019-12-07から1日間の記事一覧

なんやねんもーーーー!

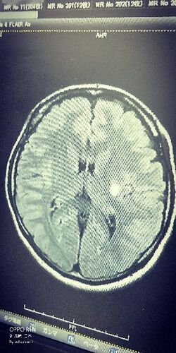
ただいま。 1日がかり。 即入院でもおかしくないんだってさ。 脳梗塞(´・ω・`) やっぱりな。 どう考えても、そうやろな。。 もう、脳細胞は死にました。 はあ。 結構大きな白でしたわ。 色々整理せなあかんな。 このブログもやめるかもしれません。 お金かか…

スポンサーリンク